Tecnologia PRGF nell’Implantologia e Chirurgia Rigenerativa
La tecnologia PRGF (Plasma Ricco di Fattori di Crescita) rappresenta un’innovazione straordinaria nell’implantologia e nella chirurgia rigenerativa. Questo approccio avanzato ottimizza i processi di guarigione e migliora significativamente i risultati clinici, offrendo vantaggi sia per i pazienti che per i professionisti del settore odontoiatrico.
Il PRGF è una tecnica che sfrutta i fattori di crescita contenuti nel sangue del paziente per accelerare la rigenerazione dei tessuti duri (osso) e molli (gengive). Il processo si sviluppa in tre fasi principali:
L’utilizzo del PRGF offre una serie di benefici, tra cui:
Il PRGF può essere utilizzato in diverse situazioni cliniche, tra cui:
Nei nostri interventi di implantologia, utilizziamo impianti con una superficie in titanio arricchita di calcio debolmente legato. Questa tecnologia unica consente al calcio di essere rilasciato a contatto con il sangue, attivando il coagulo immediatamente. Questo processo favorisce un’integrazione ossea rapida e duratura, aumentando ulteriormente il successo degli interventi implantologici.
La tecnologia PRGF è una soluzione moderna e sicura, che migliora la qualità e la velocità dei trattamenti odontoiatrici. Contattaci oggi stesso per scoprire come questa tecnica innovativa può migliorare la tua esperienza di cura e ottimizzare i risultati del tuo intervento.



Nel nostro studio dentistico, utilizziamo il fresatore, una tecnologia rivoluzionaria che consente di creare restauri dentali di alta qualità direttamente in studio. Grazie a questo strumento all’avanguardia, è possibile ottenere manufatti dentali in un’unica seduta, garantendo risultati rapidi, precisi e confortevoli.
Il fresatore CEREC MC X è un sistema CAD/CAM avanzato che combina progettazione assistita dal computer (CAD) e produzione assistita dal computer (CAM). Questo dispositivo trasforma le impronte digitali del paziente in manufatti dentali personalizzati, eliminando la necessità di inviare il lavoro a un laboratorio esterno.
L’adozione di questa tecnologia offre numerosi benefici per i pazienti:
Grazie al fresatore, possiamo offrirti un trattamento più rapido e comodo, riducendo il numero di sedute necessarie e migliorando la tua esperienza in Studio. Questa tecnologia ci permette di lavorare con una precisione senza precedenti, garantendo restauri che si integrano perfettamente con il tuo sorriso naturale.
Vuoi sapere come il fresatore può migliorare il tuo trattamento dentale? Contattaci per fissare una consulenza. Saremo felici di mostrarti come questa tecnologia all’avanguardia può aiutarti a ottenere il sorriso che desideri in modo rapido, sicuro e confortevole.




Tecnologia Itaka: Innovazione nella Gnatologia Digitale
Nel nostro studio dentistico utilizziamo la tecnologia Itaka, un’eccellenza italiana in grado di rilevare i movimenti liberi e reali della mandibola del paziente. Questo sistema innovativo ha rivoluzionato il campo della gnatologia digitale grazie a più di quattro anni di sviluppo e alla registrazione di due brevetti esclusivi.
La tecnologia consente di registrare tutti i movimenti mandibolari direttamente sul paziente, fornendo informazioni dettagliate su:
Grazie ai dati raccolti da Itaka, è possibile:
Con Itaka, il futuro della gnatologia è già qui, garantendo soluzioni rapide, precise e completamente personalizzate per ogni paziente. Prenota una consulenza presso il nostro Studio per scoprire i vantaggi di questa straordinaria tecnologia.

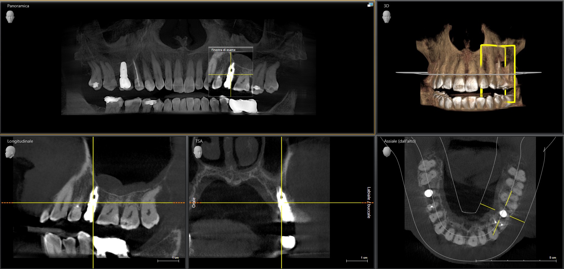
TAC Odontoiatrica Cone Beam (CBCT): Diagnosi Precisa e Trattamenti Personalizzati
Nel nostro studio, ci avvaliamo della TAC odontoiatrica Cone Beam, una tecnologia diagnostica avanzata che permette di ottenere immagini tridimensionali dettagliate delle arcate dentarie e delle strutture ossee circostanti. Questo esame offre una visione completa del cavo orale, migliorando la precisione diagnostica e la pianificazione dei trattamenti.
La TAC Cone Beam utilizza un fascio di raggi X a forma conica per acquisire immagini volumetriche in 3D. A differenza delle radiografie tradizionali, che forniscono immagini bidimensionali, la Cone Beam consente di visualizzare dettagli complessi del cavo orale da ogni angolazione, offrendo informazioni fondamentali per trattamenti personalizzati.
L’utilizzo della TAC Cone Beam nel nostro studio comporta numerosi vantaggi:
L’esame è semplice e adatto a tutti:
Grazie a questa tecnologia avanzata, possiamo offrirti un livello superiore di cura:
Se hai bisogno di un trattamento che richieda una diagnosi dettagliata o desideri saperne di più sulla TAC odontoiatrica Cone Beam, contattaci oggi stesso. Siamo qui per offrirti cure all’avanguardia e garantire la salute del tuo sorriso con le migliori tecnologie disponibili!

Implantologia Computer Assistita: La Rivoluzione Digitale negli Interventi Dentali
L’implantologia computer assistita è una tecnica all’avanguardia che utilizza la tecnologia digitale per pianificare e realizzare interventi di implantologia dentale con una precisione impensabile fino a pochi anni fa. Grazie a questa metodologia, ogni intervento è personalizzato e minimamente invasivo, garantendo risultati ottimali per ogni paziente.
L’implantologia computer assistita si sviluppa in più fasi, personalizzate da paziente a paziente:
Questa tecnica offre numerosi benefici rispetto ai metodi tradizionali:



Scanner Intraorale: Tecnologia Avanzata per il Tuo Comfort e il Tuo Sorriso
Nel nostro studio dentistico, utilizziamo lo scanner intraorale, uno strumento digitale all’avanguardia che rende più confortevole, rapido e preciso il rilevamento delle impronte dentali. Questa innovativa tecnologia sostituisce i metodi tradizionali, migliorando l’esperienza dei pazienti e la qualità dei trattamenti.
Lo scanner intraorale è un dispositivo portatile dotato di una piccola sonda ottica che cattura immagini tridimensionali dettagliate dei denti, delle gengive e dell’intero cavo orale. Questo processo è completamente digitale e non richiede l’uso di materiali tradizionali come paste o cere, rendendo l’esperienza più piacevole per il paziente.
Lo scanner intraorale porta con sé numerosi vantaggi:
Lo scanner intraorale viene utilizzato in diverse aree dell’odontoiatria, tra cui:
La tecnologia dello scanner intraorale non solo migliora la tua esperienza come paziente, ma ci consente di offrirti cure più precise, rapide ed efficienti. È un passo verso un’odontoiatria moderna e personalizzata, dove ogni trattamento è costruito sulle tue esigenze specifiche.
Se vuoi vivere un’esperienza odontoiatrica più confortevole e scoprire come lo scanner intraorale può migliorare il tuo trattamento, contattaci oggi stesso. Siamo qui per offrirti le tecnologie migliori per la tua salute e il tuo sorriso!


Tecnologia DIAGNOcam: diagnosi dentale senza radiazioni
L’evoluzione tecnologica sta trasformando il settore odontoiatrico, offrendo strumenti sempre più precisi ed efficaci per la diagnosi e il trattamento delle patologie dentali. Tra queste innovazioni, la DIAGNOcam si distingue come una soluzione all’avanguardia per la diagnosi precoce delle carie. Questo dispositivo utilizza la tecnologia DIFOTI (Digital Fiber Optic Transillumination), basata sulla transilluminazione con fibra ottica, che consente di individuare le lesioni cariose senza esporre i pazienti alle radiazioni ionizzanti.
La DIAGNOcam si avvale di fasci di luce laser a una lunghezza d’onda specifica di 780 nm, che attraversano il tessuto dentale. La luce viene assorbita o riflessa in modo diverso a seconda dello stato del dente: le aree sane risultano trasparenti, mentre le lesioni cariose bloccano il passaggio della luce. Questo crea immagini dettagliate che consentono al dentista di identificare carie e demineralizzazioni con grande precisione.
Questa tecnologia è particolarmente efficace per individuare carie occlusali e interprossimali, che possono sfuggire a un controllo visivo o ai metodi diagnostici tradizionali.
A differenza delle radiografie, la DIAGNOcam non utilizza raggi X. Questo la rende particolarmente sicura per i bambini, le donne in gravidanza e chi preferisce evitare esposizioni alle radiazioni.
La tecnologia consente di individuare lesioni cariose in fase iniziale, quando è possibile intervenire con trattamenti conservativi, riducendo il rischio di complicazioni.
Le immagini fornite sono altamente dettagliate e permettono al dentista di analizzare le strutture dentali in profondità. Ciò migliora la precisione diagnostica rispetto ai metodi tradizionali.
Il dispositivo è portatile e intuitivo, facilmente integrabile nella routine clinica. Può essere utilizzato per monitorare nel tempo la salute dentale dei pazienti e verificare l’efficacia dei trattamenti.
Mostrare immagini chiare ai pazienti favorisce una migliore comprensione del loro stato di salute dentale, aumentando la fiducia e il coinvolgimento nei piani di trattamento.


Aria Sicura e Pulita nel Nostro Studio con Active Pure® Beyond Guardian Air
Nel nostro studio dentistico, la tua salute e sicurezza sono la priorità. Per questo utilizziamo il sistema Active Pure® Beyond Guardian Air, una tecnologia avanzata creata originariamente dalla NASA, che purifica l’aria in modo continuo e sicuro, eliminando batteri, virus e altre impurità.
È un dispositivo innovativo progettato per migliorare la qualità dell’aria negli ambienti chiusi. È registrato come dispositivo medico presso il Ministero della Salute e utilizza un sistema di filtrazione all’avanguardia per garantire un’aria più pulita e salubre.
Quando vieni da noi, puoi sentirti tranquillo sapendo che l’aria che respiri è continuamente purificata. Questo non solo migliora la tua esperienza durante le cure, ma riduce anche il rischio di esposizione a batteri e virus.
Abbiamo scelto il sistema Active Pure® Beyond Guardian Air perché vogliamo offrirti il massimo livello di sicurezza. Respirare aria pulita durante le visite è un altro modo per prenderci cura di te.
Se hai domande su questa tecnologia o vuoi sapere come contribuisce al tuo benessere, non esitare a chiederci! Siamo qui per garantirti un ambiente sicuro e accogliente in ogni momento.

Microscopio per Endodonzia: Un Avanzamento Tecnologico per il Tuo Sorriso
Il microscopio per endodonzia rappresenta una delle tecnologie più avanzate nel campo dell’odontoiatria, in particolare nei trattamenti canalari. Questo strumento permette ai dentisti di eseguire interventi con una precisione senza precedenti, migliorando significativamente la qualità delle cure dentali. Grazie all’ingrandimento e all’illuminazione ottimale, il microscopio consente di ottenere risultati migliori e una maggiore soddisfazione del paziente, riducendo i rischi e aumentando l’efficacia dei trattamenti.
Il microscopio per endodonzia rappresenta una vera innovazione nel campo dell’odontoiatria, migliorando non solo la qualità dei trattamenti canalari, ma anche la precisione e la sicurezza delle cure dentali in generale. Grazie a questa tecnologia, è possibile ottenere risultati migliori, ridurre il rischio di complicazioni e garantire una maggiore soddisfazione per i pazienti. Se hai bisogno di un trattamento canalare o di ritrattamento endodontico, un dentista esperto che utilizza il microscopio può fare la differenza nel successo del tuo trattamento e nella salute del tuo sorriso.

Laser in Odontoiatria: Innovazione e Vantaggi per i Pazienti
Il laser odontoiatrico rappresenta una delle innovazioni più entusiasmanti nel campo dell’odontoiatria, trasformando il modo in cui vengono eseguiti molti trattamenti dentali. Grazie alla sua precisione e ai numerosi benefici, il laser offre un’alternativa più efficace e meno invasiva rispetto alle tecniche tradizionali, migliorando l’esperienza del paziente e i risultati clinici.
Il laser odontoiatrico utilizza fasci di luce concentrata per trattare una vasta gamma di condizioni dentali. Introdotto negli anni ’60, questa tecnologia si è evoluta nel tempo, diventando sempre più sicura, maneggevole e versatile. Oggi i laser vengono impiegati in diversi settori dell’odontoiatria, dalla chirurgia alla terapia della carie, offrendo trattamenti più precisi e confortevoli.
Il laser odontoiatrico è estremamente versatile e trova applicazione in numerosi trattamenti, tra cui:
Il laser odontoiatrico è una tecnologia innovativa che sta trasformando il trattamento dentale, migliorando la precisione, riducendo il dolore e accelerando la guarigione. Grazie a questi vantaggi, il laser è un’opzione sempre più richiesta dai pazienti che desiderano un trattamento efficace, meno invasivo e con tempi di recupero rapidi. Se desideri ulteriori informazioni sul laser in odontoiatria o vuoi prenotare una visita, contattaci per scoprire come possiamo migliorare la tua salute dentale con questa tecnologia all’avanguardia!

Rilevatore Apicale in Endodonzia: Uno Strumento Essenziale per il Trattamento dei Denti
Il rilevatore apicale, noto anche come localizzatore d’apice, è uno strumento fondamentale nell’odontoiatria moderna, in particolare nell’ambito dell’endodonzia. Questo dispositivo elettronico consente ai dentisti di determinare con estrema precisione la lunghezza del canale radicolare, un passaggio cruciale per il successo dei trattamenti di devitalizzazione. Grazie a questa tecnologia, i trattamenti sono più rapidi, precisi e sicuri.
Il rilevatore apicale utilizza un circuito elettrico per misurare l’impedenza e la resistenza tra due elettrodi: uno posizionato sul labbro del paziente e l’altro inserito nel canale radicolare. Quando il file endodontico entra in contatto con il tessuto periapicale, il dispositivo rileva un cambiamento nei valori di impedenza, indicando che si è raggiunto l’apice radicolare. Questo processo avviene in tempo reale e senza la necessità di radiografie, contribuendo a una diagnosi più rapida e precisa.
Il rilevatore apicale è particolarmente utile in diverse situazioni cliniche:
L’adozione del rilevatore apicale nella pratica endodontica rappresenta un importante progresso tecnologico che migliora l’accuratezza, la sicurezza e l’efficienza dei trattamenti dentali. Grazie alla capacità di fornire informazioni in tempo reale e senza esposizione a radiazioni, questo strumento è ormai diventato indispensabile per ogni dentista che desidera offrire cure di alta qualità e comfort ai propri pazienti. Se hai domande sui trattamenti endodontici o sul funzionamento del rilevatore apicale, contattaci per maggiori informazioni.

Sala di Sterilizzazione ad Alta Efficienza nello Studio Odontoiatrico
La sala di sterilizzazione è uno degli elementi più critici in ogni studio odontoiatrico. Garantire la sicurezza e la salute dei pazienti è una priorità assoluta, e la sterilizzazione degli strumenti odontoiatrici è un processo fondamentale per prevenire la trasmissione di infezioni e malattie. Grazie all’uso di tecnologie moderne, come la DAC, la Multisteril e le autoclavi di ultima generazione, il nostro studio è in grado di assicurare un ambiente sterile e sicuro, offrendo trattamenti di alta qualità e minimizzando il rischio di contaminazioni.
La sterilizzazione degli strumenti odontoiatrici è essenziale per proteggere la salute dei pazienti e prevenire la diffusione di infezioni. Ogni strumento utilizzato deve essere completamente decontaminato e sterilizzato tra un paziente e l’altro. Utilizzare metodi di sterilizzazione avanzati assicura che ogni strumento sia privo di batteri e microrganismi dannosi. La nostra sala di sterilizzazione è progettata per ottimizzare i flussi di lavoro, riducendo al minimo il rischio di contaminazione incrociata e garantendo un’operazione sicura e rapida.
Investire in una sala di sterilizzazione ad alta efficienza non solo migliora la qualità delle cure odontoiatriche, ma aumenta anche la fiducia dei pazienti nel nostro studio. Grazie all’uso di tecnologie avanzate come la DAC, la Multisteril e le autoclavi di ultima generazione, possiamo garantire che ogni strumento utilizzato sia perfettamente sterile e sicuro per ogni trattamento. Se desideri ulteriori informazioni sui nostri protocolli di sterilizzazione o sui servizi odontoiatrici che offriamo, contattaci senza impegno. Siamo qui per prenderti cura del tuo sorriso in totale sicurezza!
